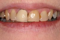
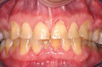
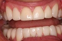
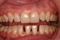
Smile Gallery
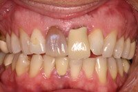
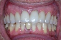
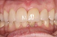
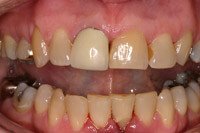
If you’re in need of cosmetic or restorative dentistry services, one way to determine which procedures are right for you is by exploring our before and after smile gallery. These photos show the dramatic transformations we’ve performed for our patients. If you don’t see the procedure you’re interested in, contact David A. Tripulas, DDS and his Wharton team to schedule a consultation today. We’ll be happy to show you examples of a number of other treatments, and explore all of your potential options to help you find the treatment that best suits your unique needs.












